
MUSE: Real-time US Simulator
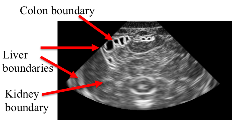
The medical ultrasound (US) is receiving increased attention despite the fast progress in other, higer resolution imaging modalities. This is due to several facts such as being the safest, the most cost efficient and the most portable medical imaging modality. The challenge in US imaging is that the images are noisy, free-hand slices (2D cross-sections) of the 3D body and furthermore the images are dependent not only on the US device parameters (such as transducer type, the operating frequency, gain, etc.) but also on user actions (such as the pressure applied to the body surface, the amount of gel used, etc.). Hence, even before diagnostic reading of US scans, the ultrasonographers must have been trained on 3D navigation within the body to be able to recognize the anatomical structures in these 2D noisy images.
The conventional way of US training is done on volunteers, which is neither convenient (even not possible in some cases) nor cost efficient. As a solution to this, US training simulators have been developed and are being used in increasing numbers. All of these commercial systems are based on pre-recorded US scans and differ in number and variety of US scans offered as well as their user interfaces. Due to the fact that none of these systems do actually perform US simulation, they are incapable of simulating the effects of the US device parameters and the user actions that affect the images acquired.
The MUSE project aims at developing a real-time, true simulation of US images from 3D virtual patient models built using real volumetric medical image data. The current project involves:
- 3D Deformable Virtual Patient Model
- Realistic Haptic Interfaces Simulating Interction With Patient's Body
- 3D Tracking Based User Interfaces for No-Touch Operation
- True and Real-Time US Image Simulation from Volumetric Data
This project is in part supported by and run in collaboration with NET Scientific Ltd. Sti., Istanbul and is in part supported by TUBITAK-TEYDEB 1505 Programme grant # 5130002




